产品: Nono 抗体
货号: DF7254
描述: Rabbit polyclonal antibody to Nono
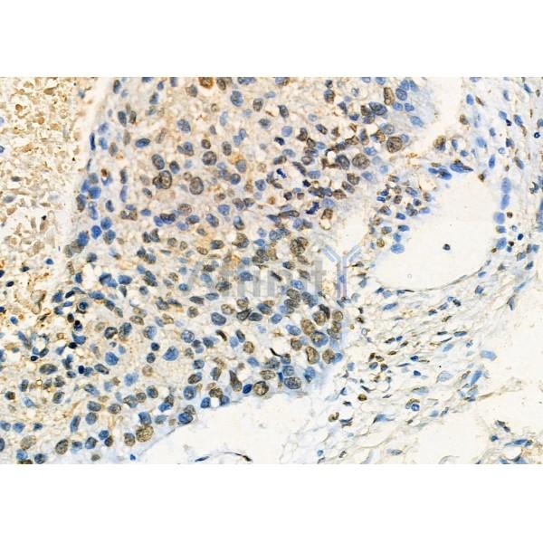
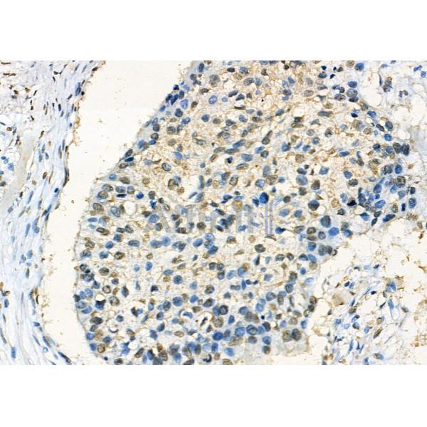
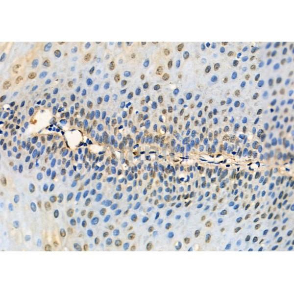
应用: WB IHC IF/ICC
反应: Human, Mouse, Rat
预测: Pig, Bovine, Horse, Sheep, Rabbit, Dog
分子量: 54kDa; 54kD(Calculated).
蛋白号: Q15233
RRID: AB_2839193

浏览相似产品>>

   规格 价格 库存
 50ul RMB¥ 1250 现货
 100ul RMB¥ 2300 现货
 200ul RMB¥ 3000 现货

货期: 当天发货

联系销售

产品描述

来源:
Rabbit
应用:
WB 1:500-1:2000, IHC 1:50-1:200, IF/ICC 1:100-1:500
*The optimal dilutions should be determined by the end user. For optimal experimental results, antibody reuse is not recommended.
*Tips:

WB: 适用于变性蛋白样本的免疫印迹检测. IHC: 适用于组织样本的石蜡(IHC-p)或冰冻(IHC-f)切片样本的免疫组化/荧光检测. IF/ICC: 适用于细胞样本的荧光检测. ELISA(peptide): 适用于抗原肽的ELISA检测.

反应:
Human, Mouse, Rat
预测:
Pig(100%), Bovine(%), Horse(%), Sheep(%), Rabbit(%), Dog(%)
克隆:
Polyclonal
特异性:
Nono Antibody detects endogenous levels of total Nono.
RRID:
AB_2839193
引用格式: Affinity Biosciences Cat# DF7254, RRID:AB_2839193.
偶联:
Unconjugated.
纯化:
The antiserum was purified by peptide affinity chromatography using SulfoLink™ Coupling Resin (Thermo Fisher Scientific).
保存:
Rabbit IgG in phosphate buffered saline , pH 7.4, 150mM NaCl, 0.02% sodium azide and 50% glycerol. Store at -20 °C. Stable for 12 months from date of receipt.
别名:

展开/折叠

52 kDa subunit; 54 kDa nuclear RNA and DNA binding protein; 54 kDa nuclear RNA- and DNA-binding protein; 55 kDa nuclear protein; DNA binding p52/p100 complex 52 kDa subunit; DNA-binding p52/p100 complex; NMT 55; NMT55; Non Pou domain containing octamer (ATGCAAAT) binding protein; Non POU domain containing octamer binding; Non POU domain containing octamer binding protein; Non-POU domain-containing octamer-binding protein; Nono; NonO protein; NONO_HUMAN; NRB 54; NRB; NRB54; Nuclear RNA binding protein 54kD; P54; p54(nrb); p54nrb; PPP1R114; Protein phosphatase 1 regulatory subunit 114;

抗原和靶标

免疫原:

A synthesized peptide derived from human Nono, corresponding to a region within C-terminal amino acids.

Uniprot:
基因/基因ID:
表达:
Q15233 NONO_HUMAN:

Heart, brain, placenta, lung, liver, skeletal muscle, kidney and pancreas. Also found in a number of breast tumor cell lines.

描述:
This gene encodes an RNA-binding protein which plays various roles in the nucleus, including transcriptional regulation and RNA splicing. A rearrangement between this gene and the transcription factor E3 gene has been observed in papillary renal cell carcinoma. Alternatively spliced transcript variants have been described. Pseudogenes exist on Chromosomes 2 and 16.
序列:
MQSNKTFNLEKQNHTPRKHHQHHHQQQHHQQQQQQPPPPPIPANGQQASSQNEGLTIDLKNFRKPGEKTFTQRSRLFVGNLPPDITEEEMRKLFEKYGKAGEVFIHKDKGFGFIRLETRTLAEIAKVELDNMPLRGKQLRVRFACHSASLTVRNLPQYVSNELLEEAFSVFGQVERAVVIVDDRGRPSGKGIVEFSGKPAARKALDRCSEGSFLLTTFPRPVTVEPMDQLDDEEGLPEKLVIKNQQFHKEREQPPRFAQPGSFEYEYAMRWKALIEMEKQQQDQVDRNIKEAREKLEMEMEAARHEHQVMLMRQDLMRRQEELRRMEELHNQEVQKRKQLELRQEEERRRREEEMRRQQEEMMRRQQEGFKGTFPDAREQEIRMGQMAMGGAMGINNRGAMPPAPVPAGTPAPPGPATMMPDGTLGLTPPTTERFGQAATMEGIGAIGGTPPAFNRAAPGAEFAPNKRRRY

种属预测

种属预测:

score>80的预测可信度较高,可尝试用于WB检测。*预测模型主要基于免疫原序列比对,结果仅作参考,不作为质保凭据。

Species
Results
Score
Pig
100
Horse
100
Bovine
100
Sheep
100
Dog
100
Rabbit
100
Xenopus
70
Chicken
60
Zebrafish
0
Model Confidence:
High(score>80) Medium(80>score>50) Low(score<50) No confidence

研究背景

功能:

DNA- and RNA binding protein, involved in several nuclear processes. Binds the conventional octamer sequence in double-stranded DNA. Also binds single-stranded DNA and RNA at a site independent of the duplex site. Involved in pre-mRNA splicing, probably as a heterodimer with SFPQ. Interacts with U5 snRNA, probably by binding to a purine-rich sequence located on the 3' side of U5 snRNA stem 1b. Together with PSPC1, required for the formation of nuclear paraspeckles. The SFPQ-NONO heteromer associated with MATR3 may play a role in nuclear retention of defective RNAs. The SFPQ-NONO heteromer may be involved in DNA unwinding by modulating the function of topoisomerase I/TOP1. The SFPQ-NONO heteromer may be involved in DNA non-homologous end joining (NHEJ) required for double-strand break repair and V(D)J recombination and may stabilize paired DNA ends. In vitro, the complex strongly stimulates DNA end joining, binds directly to the DNA substrates and cooperates with the Ku70/G22P1-Ku80/XRCC5 (Ku) dimer to establish a functional preligation complex. NONO is involved in transcriptional regulation. The SFPQ-NONO-NR5A1 complex binds to the CYP17 promoter and regulates basal and cAMP-dependent transcriptional activity. NONO binds to an enhancer element in long terminal repeats of endogenous intracisternal A particles (IAPs) and activates transcription. Regulates the circadian clock by repressing the transcriptional activator activity of the CLOCK-ARNTL/BMAL1 heterodimer. Important for the functional organization of GABAergic synapses. Plays a specific and important role in the regulation of synaptic RNAs and GPHN/gephyrin scaffold structure, through the regulation of GABRA2 transcript. Plays a role in the regulation of DNA virus-mediated innate immune response by assembling into the HDP-RNP complex, a complex that serves as a platform for IRF3 phosphorylation and subsequent innate immune response activation through the cGAS-STING pathway.

翻译修饰:

The N-terminus is blocked.

细胞定位:

Nucleus. Nucleus>Nucleolus. Nucleus speckle.
Note: Detected in punctate subnuclear structures often located adjacent to splicing speckles, called paraspeckles.

Extracellular region or secreted Cytosol Plasma membrane Cytoskeleton Lysosome Endosome Peroxisome ER Golgi apparatus Nucleus Mitochondrion Manual annotation Automatic computational assertionSubcellular location
组织特异性:

Heart, brain, placenta, lung, liver, skeletal muscle, kidney and pancreas. Also found in a number of breast tumor cell lines.

限制条款

产品的规格、报价、验证数据请以官网为准,官网链接:www.affbiotech.com | www.affbiotech.cn(简体中文)| www.affbiotech.jp(日本語)

产品的数据信息为Affinity所有,未经授权不得收集Affinity官网数据或资料用于商业用途,对抄袭产品数据的行为我们将保留诉诸法律的权利。

产品相关数据会因产品批次、产品检测情况随时调整,如您已订购该产品,请以订购时随货说明书为准,否则请以官网内容为准,官网内容有改动时恕不另行通知。

Affinity保证所销售产品均经过严格质量检测。如您购买的商品在规定时间内出现问题需要售后时,请您在Affinity官方渠道提交售后申请。

产品仅供科学研究使用。不用于诊断和治疗。 

产品未经授权不得转售。

Affinity Biosciences将不会对在使用我们的产品时可能发生的专利侵权或其他侵权行为负责。Affinity Biosciences, Affinity Biosciences标志和所有其他商标所有权归Affinity Biosciences LTD.