产品: DDIT3/CHOP 抗体
货号: DF6025
描述: Rabbit polyclonal antibody to DDIT3/CHOP
应用: WB IHC IF/ICC
文献验证: WB, IHC, IF/ICC
反应: Human, Mouse, Rat
预测: Pig, Bovine, Sheep, Rabbit, Dog
分子量: 19~30kD; 19kD(Calculated).
蛋白号: P35638
RRID: AB_2838000

浏览相似产品>>

   规格 价格 库存
 50ul RMB¥ 1250 现货
 100ul RMB¥ 2300 现货
 200ul RMB¥ 3000 现货

货期: 当天发货

联系销售

产品描述

来源:
Rabbit
应用:
WB 1:500-1:2000, IHC 1:50-1:200, IF/ICC 1:100-1:500
*The optimal dilutions should be determined by the end user. For optimal experimental results, antibody reuse is not recommended.
*Tips:

WB: 适用于变性蛋白样本的免疫印迹检测. IHC: 适用于组织样本的石蜡(IHC-p)或冰冻(IHC-f)切片样本的免疫组化/荧光检测. IF/ICC: 适用于细胞样本的荧光检测. ELISA(peptide): 适用于抗原肽的ELISA检测.

反应:
Human, Mouse, Rat
预测:
Pig(100%), Bovine(%), Sheep(%), Rabbit(%), Dog(%)
克隆:
Polyclonal
特异性:
DDIT3 Antibody detects endogenous levels of total DDIT3.
RRID:
AB_2838000
引用格式: Affinity Biosciences Cat# DF6025, RRID:AB_2838000.
偶联:
Unconjugated.
纯化:
The antiserum was purified by peptide affinity chromatography using SulfoLink™ Coupling Resin (Thermo Fisher Scientific).
保存:
Rabbit IgG in phosphate buffered saline , pH 7.4, 150mM NaCl, 0.02% sodium azide and 50% glycerol. Store at -20 °C. Stable for 12 months from date of receipt.
别名:

展开/折叠

C/EBP homologous protein; C/EBP Homology Protein; C/EBP zeta; C/EBP-homologous protein 10; C/EBP-homologous protein; CCAAT/enhancer binding protein homologous protein; CEBPZ; CHOP 10; CHOP; CHOP-10; CHOP10; DDIT 3; DDIT-3; Ddit3; DDIT3_HUMAN; DNA Damage Inducible Transcript 3; DNA damage-inducible transcript 3 protein; GADD 153; GADD153; Growth Arrest and DNA Damage Inducible Protein 153; Growth arrest and DNA damage inducible protein GADD153; Growth arrest and DNA damage-inducible protein GADD153; MGC4154;

抗原和靶标

免疫原:

A synthesized peptide derived from human DDIT3, corresponding to a region within N-terminal amino acids.

Uniprot:
基因/基因ID:
描述:
CHOP was identified as a C/EBP-homologous protein that inhibits C/EBP and LAP in a dominant-negative manner (1). CHOP expression is induced by certain cellular stresses including starvation and the induced CHOP suppresses cell cycle progression from G1 to S phase (2). Later it was shown that, during ER stress, the level of CHOP expression is elevated and CHOP functions to mediate programmed cell death (3). Studies also found that CHOP mediates the activation of GADD34 and Ero1-Lα expression during ER stress. GADD34 in turn dephosphorylates phospho-Ser51 of eIF2α thereby stimulating protein synthesis. Ero1-Lα promotes oxidative stress inside the endoplasmic reticulum (ER) (4). The role of CHOP in the programmed cell death of ER-stressed cells is correlated with its role promoting protein synthesis and oxidative stress inside the ER (4).
序列:
MAAESLPFSFGTLSSWELEAWYEDLQEVLSSDENGGTYVSPPGNEEEESKIFTTLDPASLAWLTEEEPEPAEVTSTSQSPHSPDSSQSSLAQEEEEEDQGRTRKRKQSGHSPARAGKQRMKEKEQENERKVAQLAEENERLKQEIERLTREVEATRRALIDRMVNLHQA

种属预测

种属预测:

score>80的预测可信度较高,可尝试用于WB检测。*预测模型主要基于免疫原序列比对,结果仅作参考,不作为质保凭据。

Species
Results
Score
Pig
100
Bovine
100
Sheep
100
Dog
100
Rabbit
100
Horse
0
Xenopus
0
Zebrafish
0
Chicken
0
Model Confidence:
High(score>80) Medium(80>score>50) Low(score<50) No confidence

研究背景

功能:

Multifunctional transcription factor in ER stress response. Plays an essential role in the response to a wide variety of cell stresses and induces cell cycle arrest and apoptosis in response to ER stress. Plays a dual role both as an inhibitor of CCAAT/enhancer-binding protein (C/EBP) function and as an activator of other genes. Acts as a dominant-negative regulator of C/EBP-induced transcription: dimerizes with members of the C/EBP family, impairs their association with C/EBP binding sites in the promoter regions, and inhibits the expression of C/EBP regulated genes. Positively regulates the transcription of TRIB3, IL6, IL8, IL23, TNFRSF10B/DR5, PPP1R15A/GADD34, BBC3/PUMA, BCL2L11/BIM and ERO1L. Negatively regulates; expression of BCL2 and MYOD1, ATF4-dependent transcriptional activation of asparagine synthetase (ASNS), CEBPA-dependent transcriptional activation of hepcidin (HAMP) and CEBPB-mediated expression of peroxisome proliferator-activated receptor gamma (PPARG). Inhibits the canonical Wnt signaling pathway by binding to TCF7L2/TCF4, impairing its DNA-binding properties and repressing its transcriptional activity. Plays a regulatory role in the inflammatory response through the induction of caspase-11 (CASP4/CASP11) which induces the activation of caspase-1 (CASP1) and both these caspases increase the activation of pro-IL1B to mature IL1B which is involved in the inflammatory response.

翻译修饰:

Ubiquitinated, leading to its degradation by the proteasome.

Phosphorylation at serine residues by MAPK14 enhances its transcriptional activation activity while phosphorylation at serine residues by CK2 inhibits its transcriptional activation activity.

细胞定位:

Cytoplasm. Nucleus.
Note: Present in the cytoplasm under non-stressed conditions and ER stress leads to its nuclear accumulation.

Extracellular region or secreted Cytosol Plasma membrane Cytoskeleton Lysosome Endosome Peroxisome ER Golgi apparatus Nucleus Mitochondrion Manual annotation Automatic computational assertionSubcellular location
蛋白家族:

The N-terminal region is necessary for its proteasomal degradation, transcriptional activity and interaction with EP300/P300.

Belongs to the bZIP family.

研究领域

· Cellular Processes > Cell growth and death > Apoptosis.   (View pathway)

· Environmental Information Processing > Signal transduction > MAPK signaling pathway.   (View pathway)

· Genetic Information Processing > Folding, sorting and degradation > Protein processing in endoplasmic reticulum.   (View pathway)

· Human Diseases > Endocrine and metabolic diseases > Non-alcoholic fatty liver disease (NAFLD).

· Human Diseases > Cancers: Overview > Transcriptional misregulation in cancer.

文献引用

1). Upregulation of BCL-2 by acridone derivative through gene promoter i-motif for alleviating liver damage of NAFLD/NASH. NUCLEIC ACIDS RESEARCH, 2020 (PubMed: 32710621) [IF=16.6]

Application: WB    Species: mouse    Sample: liver

Figure 7. Effect of A22 on ameliorating apoptosis, ER stress, inflammation, metabolic syndrome, and fibrogenesis in HF diet-fed mice. (A) Effect of A22 on BCL-2 gene transcription. (B) Effect of A22 on BAX gene transcription. (C) Effect of A22 on expressions of apoptosis-related proteins in liver. The extracted proteins from the liver were immunoblotted with specific antibodies, and quantified based on the loading control of ACTIN. (D) Effect of A22 on ER stress. The UPR proteins (IRE-1, PERK, elF-2 and CHOP) were analyzed by using western Blot. (E) Effect of A22 on expressions of inflammatory factors. (F) Effect of A22 on expressions of fibrogenic proteins.

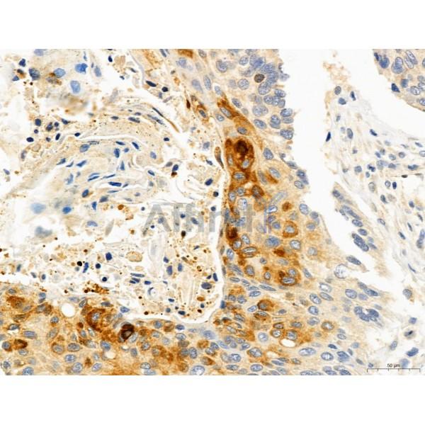
2). Gut Akkermansia muciniphila ameliorates metabolic dysfunction-associated fatty liver disease by regulating the metabolism of L-aspartate via gut-liver axis. Gut Microbes, 2021 (PubMed: 34030573) [IF=12.2]

Application: IHC    Species: Mice    Sample: ileum

Figure 2. A. muciniphila increased markers related to lipid metabolism in liver and gut of HFC mice. HFC induced obese MAFLD (11 weeks of feeding) were administered with saline as the control or A. muciniphila (6 weeks of treatment) to assess liver and ileum parameters: a-c for parameters in the liver and d-f for parameters in the ileum. e-g, representative images of the ileum (Scale bar, for 100 µm). (a) Hepatic mitochondrial copy number determination. (b) Gene expression related to lipid uptake and oxidation in the liver of mice. (c) Protein levels of metabolic regulators mitochondrial complexes, and the LKB1-AMPK axis in the liver of mice. The protein levels were quantified and normalized to the loading control actin (d) Gene expression of lipid uptake and oxidation in the ileum of mice. The gene level or protein level in the HFC group was set as 1, and the relative fold increases were determined by comparison with the HFC control group. (e) Immunohistochemistry analysis of PGC-1α in the ileum of mice. The brown dot indicates the examined protein. Representative images were captured. Scale bar, 100 µm. (f) TG level quantification (indicated by oil red O staining) and oxidative stress-induced cell apoptosis determination (indicated by CHOP examination) in the ileum. Representative images were captured. Scale bar, 100 µm. (g) Immunohistochemistry analysis of E-cadherin and H

3). Development of erianin-loaded dendritic mesoporous silica nanospheres with pro-apoptotic effects and enhanced topical delivery. JOURNAL OF NANOBIOTECHNOLOGY, 2020 (PubMed: 32228604) [IF=10.2]

Application: WB    Species: Human    Sample: HaCaT cells

Fig. 5 Efect of erianin and E/DMSNs on cytosolic calcium levels and ERS signaling pathway. a Flow cytometry analysis of cytosolic calcium levels in HaCaT cells after treatment with erianin and E/DMSNs for 24 h. b Relative MFI of control in (a) analyzed by fow cytometry. c The expressions of PERK, ATF6, IRE1α, and CHOP proteins after treatment with erianin and E/DMSNs for 24 h. d Quantitation of PERK, ATF6, IRE1α, and CHOP proteins normalized to β-actin in (c) by using Image J software. Values are represented as means±SD (n=3). *p<0.05, **p<0.01, ***p<0.005, ****p<0.001, signifcantly diferent compared with the erianin group. ##p<0.01, ###p<0.005, ####p<0.001, signifcantly diferent compared with the control group

Application: WB    Species: Human    Sample: HaCaT cells

Fig. 5 Effect of erianin and E/DMSNs on cytosolic calcium levels and ERS signaling pathway. a Flow cytometry analysis of cytosolic calcium levels in HaCaT cells after treatment with erianin and E/DMSNs for 24 h. b Relative MFI of control in (a) analyzed by flow cytometry. c The expressions of PERK, ATF6, IRE1α, and CHOP proteins after treatment with erianin and E/DMSNs for 24 h. d Quantitation of PERK, ATF6, IRE1α, and CHOP proteins normalized to β-actin in (c) by using Image J software. Values are represented as means ± SD (n = 3). *p < 0.05, **p < 0.01, ***p < 0.005, ****p < 0.001, significantly different compared with the erianin group. ##p < 0.01, ###p < 0.005, ####p < 0.001, significantly different compared with the control group

4). A marine-derived small molecule induces immunogenic cell death against triple-negative breast cancer through ER stress-CHOP pathway. International Journal of Biological Sciences, 2023 (PubMed: 35541893) [IF=8.2]

Application: WB    Species: human    Sample: MDA-MB-231 cells

Figure 2. | MHO7 induced ER stress and cell cycle arrest in TNBC cells.(D) The expression of BiP/p-PERK/p-eIF2α/ATF4/CHOP were measured by western blot under MHO7 treatment in MDA-MB-231 cells.

5). A novel HSF1 activator ameliorates non‐alcoholic steatohepatitis by stimulating mitochondrial adaptive oxidation. BRITISH JOURNAL OF PHARMACOLOGY, 2022 (PubMed: 34783017) [IF=6.8]

Application: WB    Species: Human    Sample: HepG-2 cells

FIGURE 2 SYSU-3d protects hepatocytes against lipotoxicity and cell injury induced by palmitic acid (PA) treatment through activating heat shock factor 1 (HSF1). (a) Identification of novel HSF1 activator in PA-inducted HepG-2 cells based on high-content screening system by using HSF1 antibody. Representative images were captured and presented. Scale bar, 100 μm. (b) Cellular triglyceride (TG) levels and survival cell determination. (c) Expression of proteins related to oxidative stress, apoptosis, inflammation and HSF1; protein levels were quantified and normalized to actin. (d) HSF1 translocation and distribution assay. Actin was selected as whole cell lysate or cytosol loading control, and Lamin B was selected for nucleus. (e–h) HSF1 knockout diminished the hepatoprotective effects of SYSU-3d in PA-treated cells. The HSF1−/−-HepG-2 cells were exposed to PA (0.75 mM) induction for 24 h in the presence or absence of SYSU-3d (1 μM); cells were harvested and indicated parameters were analysed. (e) Expression of HSF1 and TG levels was determined by using HSF1 antibody and Nile red dye, respectively. (f) TG level. (g) Cell survival. (h) Expression of HSF1, apoptosis and inflammation markers; protein levels were quantified and normalized to Actin. (i–l) Overexpression of HSF1 restored the hepatoprotective effect of SYSU-3d. The HSF1−/−-HepG-2 cells were transfected with AdHSF1 for 24 h and then exposed to palmitic acid (PA) induction with or without SYSU-3d (1 μM) treatment for another 24 h. TG levels (i), cell survival (j), caspase 3 activity (k) and expression of HSF1 and related proteins (l) were determined; protein levels were quantified and normalized to GAPDH. N = 5 independent experiments. *P

6). mTOR pathway mediates endoplasmic reticulum stress-induced CD4+ T cell apoptosis in septic mice. APOPTOSIS, 2022 (PubMed: 35759162) [IF=6.1]

Application: WB    Species: Mice    Sample: CD4+ T cells

Fig. 4 Expression of ERS-UPR- and mTOR-related proteins in splenic CD4+ T cells of septic mice. Protein expression of GRP78, CHOP, mTOR, p-mTOR, p70S6k, p-p70S6k (A–E) in CD4+ T cells were quantified by western blotting and showed as the relative expression values of β-actin, which was used as a loading control to normalize the protein levels. In order to highlight the activation level of p-mTOR and p-p70S6K in this signaling pathway, the ratio of p-mTOR to mTOR (p/t mTOR) and p-p70S6K to p70S6K (p/t p70S6K) were used for statistics. Data are shown as Mean ± SD (n = 6). Statistically significant differences were determined by two-tailed Student’s t-test. **P < 0.01, ***P < 0.001, ****P < 0.0001

7). Trehalose Ameliorates Nonalcoholic Fatty Liver Disease by Regulating IRE1α-TFEB Signaling Pathway. Journal of agricultural and food chemistry, 2025 (PubMed: 39680632) [IF=5.7]

8). Endoplasmic Reticulum Stress Contributes to Copper-Induced Pyroptosis via Regulating the IRE1α-XBP1 Pathway in Pig Jejunal Epithelial Cells. Journal of Agricultural and Food Chemistry, 2022 (PubMed: 35075900) [IF=5.7]

9). Intranasal Administration of GRP78 Protein (HSPA5) Confers Neuroprotection in a Lactacystin-Induced Rat Model of Parkinson's Disease. International journal of molecular sciences, 2024 (PubMed: 38612761) [IF=5.6]

Application: WB    Species: Rat    Sample: nigral tissue

Figure 4 Exogenous GRP78 blocks the pro-apoptotic GRP78/eIF2α/CHOP/caspase-3,9 signaling pathway of the UPR in nigral tissue in a rat model of Parkinson’s disease. Nigral content of (a) GRP78, (b) phosphorylated to total eIF2α, (c) CHOP. (d) Representative immunoblots. Nigral content of (e) cleaved caspase-9, (f) cleaved caspase-3. (g) Representative immunoblots. Western blot analysis of the nigral tissue was conducted with the antibodies against GRP78 (1:1000, rabbit, Abcam, Cambridge, UK), eIF2a (1:750, rabbit, Affinity Biosciences, Zhenjiang, China), pSer51-eIF2a (1:1000, rabbit, Abcam, Cambridge, UK), CHOP (1:1000, rabbit, Affinity Biosciences, Zhenjiang, China), cleaved caspase-9 (1:1000, rabbit, Affinity Biosciences, Zhenjiang, China), and cleaved caspase-3 (1:1000, rabbit, Affinity Biosciences, Zhenjiang, China). Staining with anti-β-Actin antibodies (1:1000, mouse, Santa Cruz Biotechnology, Dallas, TX, USA) was used as the loading control. The results are presented as percentages of the control (panels (a–c,e,f)). Bar charts indicate mean values with standard errors. The dots, squares, triangles and rhombus indicate individual values per rat. Two-way ANOVA test followed by Tukey’s post hoc analysis were performed to determine the effects of GRP78 therapy. Asterisks indicate significant differences between groups according to Tukey’s post hoc tests

10). Mesenchymal stromal cells protect hepatocytes from lipotoxicity through alleviation of endoplasmic reticulum stress by restoring SERCA activity. JOURNAL OF CELLULAR AND MOLECULAR MEDICINE, 2021 (PubMed: 33591626) [IF=5.3]

Application: WB    Species: human    Sample: HepG2 cells

FIGURE 5 |MSCs alleviated PA-induced ER stress in HepG2 cells. The morphology of the ER in the HepG2 cells was observed by electron microscopy (A). The mRNA expression and proteins levels of ER stress makers and the protein levels of BiP, ATF6/4, p-eIF2α and CHOP in HepG2 cells were measured after 24 h (B, C).

Application: WB    Species: Human    Sample: HepG2 cells

FIGURE 5 MSCs alleviated PA‐induced ER stress in HepG2 cells. The morphology of the ER in the HepG2 cells was observed by electron microscopy (A). The mRNA expression and proteins levels of ER stress makers and the protein levels of BiP, ATF6/4, p‐eIF2α and CHOP in HepG2 cells were measured after 24 h (B, C). Representative Fluo‐4AM ratio images of cytosolic calcium in HepG2 cells after 24 h, and quantification of the relative fluorescence intensity (D). The intracellular calcium release was detected by flow cytometry (E). The protein and mRNA expression levels of SERCA in HepG2 cells after PA exposure for 24 h with or without MSC coculture (F, G). Measurement of the SERCA activity in HepG2 cells at 24 h after exposure (H). The protein and mRNA expression levels of SERCA in the livers of rats (I, J). Results are presented as means ± SD from three independent experiments, *P < .05 vs the control or BSA group; # P < .05 vs the PA or HFD group

加载更多

限制条款

产品的规格、报价、验证数据请以官网为准,官网链接:www.affbiotech.com | www.affbiotech.cn(简体中文)| www.affbiotech.jp(日本語)

产品的数据信息为Affinity所有,未经授权不得收集Affinity官网数据或资料用于商业用途,对抄袭产品数据的行为我们将保留诉诸法律的权利。

产品相关数据会因产品批次、产品检测情况随时调整,如您已订购该产品,请以订购时随货说明书为准,否则请以官网内容为准,官网内容有改动时恕不另行通知。

Affinity保证所销售产品均经过严格质量检测。如您购买的商品在规定时间内出现问题需要售后时,请您在Affinity官方渠道提交售后申请。

产品仅供科学研究使用。不用于诊断和治疗。 

产品未经授权不得转售。

Affinity Biosciences将不会对在使用我们的产品时可能发生的专利侵权或其他侵权行为负责。Affinity Biosciences, Affinity Biosciences标志和所有其他商标所有权归Affinity Biosciences LTD.