产品: 磷酸化 Tau (Thr181)[Thr498] 抗体
货号: AF3149
描述: Rabbit polyclonal antibody to Phospho-Tau (Thr181)[Thr498]
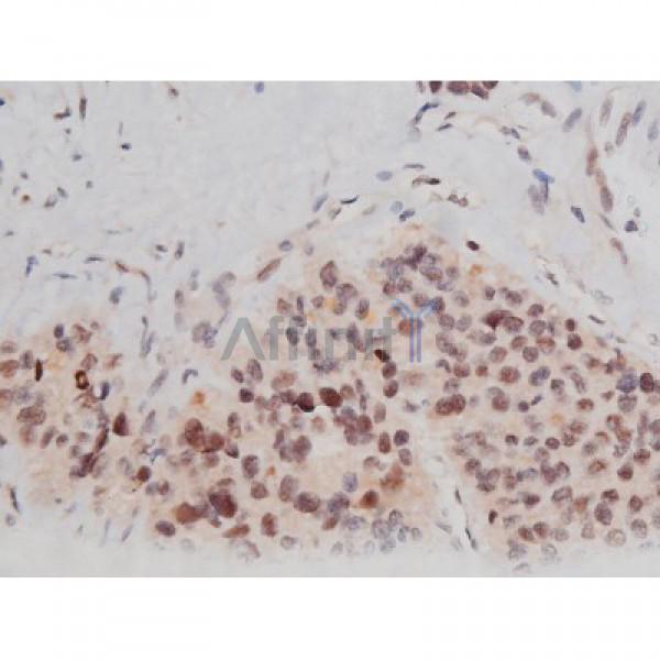
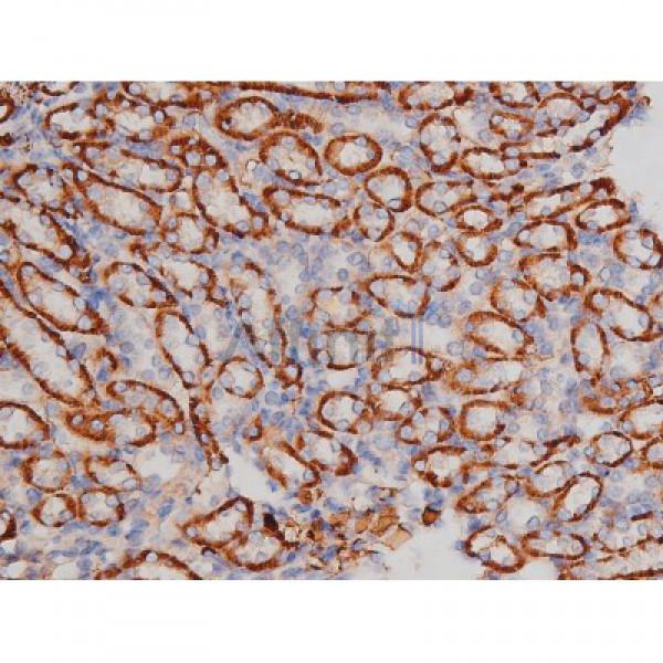
应用: WB IHC
文献验证: WB
反应: Human, Mouse, Rat
预测: Chicken
分子量: 50-80kDa; 79kD(Calculated).
蛋白号: P10636
RRID: AB_2834584

浏览相似产品>>

   规格 价格 库存
 50ul RMB¥ 1300 现货
 100ul RMB¥ 2400 现货
 200ul RMB¥ 3200 现货

货期: 当天发货

联系销售

产品描述

来源:
Rabbit
应用:
WB 1:500-1:2000, IHC 1:50-1:200
*The optimal dilutions should be determined by the end user. For optimal experimental results, antibody reuse is not recommended.
*Tips:

WB: 适用于变性蛋白样本的免疫印迹检测. IHC: 适用于组织样本的石蜡(IHC-p)或冰冻(IHC-f)切片样本的免疫组化/荧光检测. IF/ICC: 适用于细胞样本的荧光检测. ELISA(peptide): 适用于抗原肽的ELISA检测.

反应:
Human, Mouse, Rat
预测:
Chicken(88%)
克隆:
Polyclonal
特异性:
Phospho-Tau (Thr181) Antibody detects endogenous levels of Tau only when phosphorylated at Thr498, which site historically referenced as Thr181.
RRID:
AB_2834584
引用格式: Affinity Biosciences Cat# AF3149, RRID:AB_2834584.
偶联:
Unconjugated.
纯化:
The antibody is from purified rabbit serum by affinity purification via sequential chromatography on phospho-peptide and non-phospho-peptide affinity columns.
保存:
Rabbit IgG in phosphate buffered saline , pH 7.4, 150mM NaCl, 0.02% sodium azide and 50% glycerol. Store at -20 °C. Stable for 12 months from date of receipt.
别名:

展开/折叠

AI413597; AW045860; DDPAC; FLJ31424; FTDP 17; G protein beta1/gamma2 subunit interacting factor 1; MAPT; MAPTL; MGC134287; MGC138549; MGC156663; Microtubule associated protein tau; Microtubule associated protein tau isoform 4; Microtubule-associated protein tau; MSTD; Mtapt; MTBT1; MTBT2; Neurofibrillary tangle protein; Paired helical filament tau; Paired helical filament-tau; PHF tau; PHF-tau; PPND; PPP1R103; Protein phosphatase 1, regulatory subunit 103; pTau; RNPTAU; TAU; TAU_HUMAN; Tauopathy and respiratory failure, included;

抗原和靶标

免疫原:

A synthesized peptide derived from human Tau around the phosphorylation site of Thr181.

Uniprot:
基因/基因ID:
表达:
P10636 TAU_HUMAN:

Expressed in neurons. Isoform PNS-tau is expressed in the peripheral nervous system while the others are expressed in the central nervous system.

描述:
This gene encodes the microtubule-associated protein tau (MAPT) whose transcript undergoes complex, regulated alternative splicing, giving rise to several mRNA species. MAPT transcripts are differentially expressed in the nervous system, depending on stage of neuronal maturation and neuron type.
序列:
MAEPRQEFEVMEDHAGTYGLGDRKDQGGYTMHQDQEGDTDAGLKESPLQTPTEDGSEEPGSETSDAKSTPTAEDVTAPLVDEGAPGKQAAAQPHTEIPEGTTAEEAGIGDTPSLEDEAAGHVTQEPESGKVVQEGFLREPGPPGLSHQLMSGMPGAPLLPEGPREATRQPSGTGPEDTEGGRHAPELLKHQLLGDLHQEGPPLKGAGGKERPGSKEEVDEDRDVDESSPQDSPPSKASPAQDGRPPQTAAREATSIPGFPAEGAIPLPVDFLSKVSTEIPASEPDGPSVGRAKGQDAPLEFTFHVEITPNVQKEQAHSEEHLGRAAFPGAPGEGPEARGPSLGEDTKEADLPEPSEKQPAAAPRGKPVSRVPQLKARMVSKSKDGTGSDDKKAKTSTRSSAKTLKNRPCLSPKHPTPGSSDPLIQPSSPAVCPEPPSSPKYVSSVTSRTGSSGAKEMKLKGADGKTKIATPRGAAPPGQKGQANATRIPAKTPPAPKTPPSSGEPPKSGDRSGYSSPGSPGTPGSRSRTPSLPTPPTREPKKVAVVRTPPKSPSSAKSRLQTAPVPMPDLKNVKSKIGSTENLKHQPGGGKVQIINKKLDLSNVQSKCGSKDNIKHVPGGGSVQIVYKPVDLSKVTSKCGSLGNIHHKPGGGQVEVKSEKLDFKDRVQSKIGSLDNITHVPGGGNKKIETHKLTFRENAKAKTDHGAEIVYKSPVVSGDTSPRHLSNVSSTGSIDMVDSPQLATLADEVSASLAKQGL

种属预测

种属预测:

score>80的预测可信度较高,可尝试用于WB检测。*预测模型主要基于免疫原序列比对,结果仅作参考,不作为质保凭据。

Species
Results
Score
Chicken
88
Pig
75
Horse
75
Dog
75
Rabbit
75
Bovine
71
Sheep
71
Xenopus
0
Zebrafish
0
Model Confidence:
High(score>80) Medium(80>score>50) Low(score<50) No confidence

研究背景

功能:

Promotes microtubule assembly and stability, and might be involved in the establishment and maintenance of neuronal polarity. The C-terminus binds axonal microtubules while the N-terminus binds neural plasma membrane components, suggesting that tau functions as a linker protein between both. Axonal polarity is predetermined by TAU/MAPT localization (in the neuronal cell) in the domain of the cell body defined by the centrosome. The short isoforms allow plasticity of the cytoskeleton whereas the longer isoforms may preferentially play a role in its stabilization.

翻译修饰:

Phosphorylation at serine and threonine residues in S-P or T-P motifs by proline-directed protein kinases (PDPK1, CDK1, CDK5, GSK3, MAPK) (only 2-3 sites per protein in interphase, seven-fold increase in mitosis, and in the form associated with paired helical filaments (PHF-tau)), and at serine residues in K-X-G-S motifs by MAP/microtubule affinity-regulating kinase (MARK1, MARK2, MARK3 or MARK4), causing detachment from microtubules, and their disassembly. Phosphorylation decreases with age. Phosphorylation within tau/MAP's repeat domain or in flanking regions seems to reduce tau/MAP's interaction with, respectively, microtubules or plasma membrane components. Phosphorylation on Ser-610, Ser-622, Ser-641 and Ser-673 in several isoforms during mitosis. Phosphorylation at Ser-548 by GSK3B reduces ability to bind and stabilize microtubules. Phosphorylation at Ser-579 by BRSK1 and BRSK2 in neurons affects ability to bind microtubules and plays a role in neuron polarization. Phosphorylated at Ser-554, Ser-579, Ser-602, Ser-606 and Ser-669 by PHK. Phosphorylation at Ser-214 by SGK1 mediates microtubule depolymerization and neurite formation in hippocampal neurons. There is a reciprocal down-regulation of phosphorylation and O-GlcNAcylation. Phosphorylation on Ser-717 completely abolishes the O-GlcNAcylation on this site, while phosphorylation on Ser-713 and Ser-721 reduces glycosylation by a factor of 2 and 4 respectively. Phosphorylation on Ser-721 is reduced by about 41.5% by GlcNAcylation on Ser-717. Dephosphorylated at several serine and threonine residues by the serine/threonine phosphatase PPP5C.

Polyubiquitinated. Requires functional TRAF6 and may provoke SQSTM1-dependent degradation by the proteasome (By similarity). PHF-tau can be modified by three different forms of polyubiquitination. 'Lys-48'-linked polyubiquitination is the major form, 'Lys-6'-linked and 'Lys-11'-linked polyubiquitination also occur.

O-glycosylated. O-GlcNAcylation content is around 8.2%. There is reciprocal down-regulation of phosphorylation and O-GlcNAcylation. Phosphorylation on Ser-717 completely abolishes the O-GlcNAcylation on this site, while phosphorylation on Ser-713 and Ser-721 reduces O-GlcNAcylation by a factor of 2 and 4 respectively. O-GlcNAcylation on Ser-717 decreases the phosphorylation on Ser-721 by about 41.5%.

Glycation of PHF-tau, but not normal brain TAU/MAPT. Glycation is a non-enzymatic post-translational modification that involves a covalent linkage between a sugar and an amino group of a protein molecule forming ketoamine. Subsequent oxidation, fragmentation and/or cross-linking of ketoamine leads to the production of advanced glycation endproducts (AGES). Glycation may play a role in stabilizing PHF aggregation leading to tangle formation in AD.

细胞定位:

Cytoplasm>Cytosol. Cell membrane>Peripheral membrane protein>Cytoplasmic side. Cytoplasm>Cytoskeleton. Cell projection>Axon. Cell projection>Dendrite.
Note: Mostly found in the axons of neurons, in the cytosol and in association with plasma membrane components.

Extracellular region or secreted Cytosol Plasma membrane Cytoskeleton Lysosome Endosome Peroxisome ER Golgi apparatus Nucleus Mitochondrion Manual annotation Automatic computational assertionSubcellular location
组织特异性:

Expressed in neurons. Isoform PNS-tau is expressed in the peripheral nervous system while the others are expressed in the central nervous system.

蛋白家族:

The tau/MAP repeat binds to tubulin. Type I isoforms contain 3 repeats while type II isoforms contain 4 repeats.

研究领域

· Environmental Information Processing > Signal transduction > MAPK signaling pathway.   (View pathway)

· Human Diseases > Neurodegenerative diseases > Alzheimer's disease.

文献引用

1). NAD+-boosting agent nicotinamide mononucleotide potently improves mitochondria stress response in Alzheimer's disease via ATF4-dependent mitochondrial UPR. Cell death & disease, 2024 (PubMed: 39394148) [IF=8.1]

Application: WB    Species: human    Sample: HEK293 cells

Fig. 2: NAD+ supplement slashes hyperphosphorylated tau and Aβ peptide in vitro. NMN restores Aβ expression in N2a APPswe cells and inhibits tau hyperphosphorylation in HEK293 cells Tau P301L after supplementing with either VEH or 500 μm NMN for 24 h. a Cell viability results of N2a mouse neuroblastoma cells and overexpressing Swedish K595N and M596L mutations cells depicting a dose-dependent NMN effect. Data were analyzed by one-way ANOVA followed by Sidak’s multiple comparisons test. b Representative confocal images showing the APP level of the NMN-treated N2s cells. Data were analyzed by a two-sided unpaired t-test. Scale bar, 25 μm. c, e–i SDS-PAGE, and corresponding quantification of APP and its indicated protein expressions indicating NMN effects. Data were analyzed by two-sided one-way ANOVA followed by Tukey’s multiple comparisons test. d, j, k, m Representative 3D reconstruction images and corresponding quantification of colocalization of Tau5, tau-Thr217 and CTSD. Scale bar, 10 μm. l, n–r Effects of NMN on the expression levels of different p-Tau sites (Thr181, Thr231, Thr217, AT8, and Ser396) in HEK293 cells Tau P301L. s The total Tau level change between NMN-treated and non-treated group. Data were analyzed by two-sided one-way ANOVA followed by Tukey’s multiple comparisons test. At least three experiments were repeated independently with similar results. Full scans of all the blots are in the Supplementary Data. All experiments were performed independently with at least three biological replicates. Data are shown as mean ± s.e.m. The p-values are indicated on the graphs. ns not significant.

2). Glucose starvation induces tau phosphorylation leading to cellular stress response in fission yeast. Archives of microbiology, 2025 (PubMed: 40387938) [IF=2.3]

限制条款

产品的规格、报价、验证数据请以官网为准,官网链接:www.affbiotech.com | www.affbiotech.cn(简体中文)| www.affbiotech.jp(日本語)

产品的数据信息为Affinity所有,未经授权不得收集Affinity官网数据或资料用于商业用途,对抄袭产品数据的行为我们将保留诉诸法律的权利。

产品相关数据会因产品批次、产品检测情况随时调整,如您已订购该产品,请以订购时随货说明书为准,否则请以官网内容为准,官网内容有改动时恕不另行通知。

Affinity保证所销售产品均经过严格质量检测。如您购买的商品在规定时间内出现问题需要售后时,请您在Affinity官方渠道提交售后申请。

产品仅供科学研究使用。不用于诊断和治疗。 

产品未经授权不得转售。

Affinity Biosciences将不会对在使用我们的产品时可能发生的专利侵权或其他侵权行为负责。Affinity Biosciences, Affinity Biosciences标志和所有其他商标所有权归Affinity Biosciences LTD.