产品: RIP3 抗体
货号: AF7942
描述: Rabbit polyclonal antibody to RIP3
应用: WB IHC
文献验证: WB, IHC
反应: Human, Mouse, Rat
分子量: 57kDa.; 53kD(Calculated).
蛋白号: Q9QZL0
RRID: AB_2844305

浏览相似产品>>

   规格 价格 库存
 50ul RMB¥ 1250 现货
 100ul RMB¥ 2300 现货
 200ul RMB¥ 3000 现货

货期: 当天发货

联系销售

产品描述

来源:
Rabbit
应用:
WB 1:500-1:2000, IHC 1:50-1:200
*The optimal dilutions should be determined by the end user. For optimal experimental results, antibody reuse is not recommended.
*Tips:

WB: 适用于变性蛋白样本的免疫印迹检测. IHC: 适用于组织样本的石蜡(IHC-p)或冰冻(IHC-f)切片样本的免疫组化/荧光检测. IF/ICC: 适用于细胞样本的荧光检测. ELISA(peptide): 适用于抗原肽的ELISA检测.

反应:
Human, Mouse, Rat
克隆:
Polyclonal
特异性:
RIP3 Antibody detects endogenous levels of total RIP3.
RRID:
AB_2844305
引用格式: Affinity Biosciences Cat# AF7942, RRID:AB_2844305.
偶联:
Unconjugated.
纯化:
The antiserum was purified by peptide affinity chromatography using SulfoLink™ Coupling Resin (Thermo Fisher Scientific).
保存:
Rabbit IgG in phosphate buffered saline , pH 7.4, 150mM NaCl, 0.02% sodium azide and 50% glycerol. Store at -20 °C. Stable for 12 months from date of receipt.
别名:

展开/折叠

Receptor interacting protein 3; Receptor interacting serine threonine kinase 3; Receptor interacting serine/threonine protein kinase 3; Receptor-interacting protein 3; Receptor-interacting serine/threonine-protein kinase 3; RIP 3; RIP like protein kinase 3; RIP-3; RIP-like protein kinase 3; RIPK 3; RIPK3; RIPK3_HUMAN;

抗原和靶标

免疫原:

A synthesized peptide derived from mouse RIP3, corresponding to a region within the internal amino acids.

Uniprot:
表达:
Q9QZL0 RIPK3_MOUSE:

Expressed in embryo and in adult spleen, liver, testis, heart, brain and lung.

序列:
MSSVKLWPTGASAVPLVSREELKKLEFVGKGGFGVVFRAHHRTWNHDVAVKIVNSKKISWEVKAMVNLRNENVLLLLGVTEDLQWDFVSGQALVTRFMENGSLAGLLQPECPRPWPLLCRLLQEVVLGMCYLHSLNPPLLHRDLKPSNILLDPELHAKLADFGLSTFQGGSQSGSGSGSGSRDSGGTLAYLDPELLFDVNLKASKASDVYSFGILVWAVLAGREAELVDKTSLIRETVCDRQSRPPLTELPPGSPETPGLEKLKELMIHCWGSQSENRPSFQDCEPKTNEVYNLVKDKVDAAVSEVKHYLSQHRSSGRNLSAREPSQRGTEMDCPRETMVSKMLDRLHLEEPSGPVPGKCPERQAQDTSVGPATPARTSSDPVAGTPQIPHTLPFRGTTPGPVFTETPGPHPQRNQGDGRHGTPWYPWTPPNPMTGPPALVFNNCSEVQIGNYNSLVAPPRTTASSSAKYDQAQFGRGRGWQPFHK

研究背景

功能:

Serine/threonine-protein kinase that activates necroptosis and apoptosis, two parallel forms of cell death. Necroptosis, a programmed cell death process in response to death-inducing TNF-alpha family members, is triggered by RIPK3 following activation by ZBP1. Activated RIPK3 forms a necrosis-inducing complex and mediates phosphorylation of MLKL, promoting MLKL localization to the plasma membrane and execution of programmed necrosis characterized by calcium influx and plasma membrane damage. In addition to TNF-induced necroptosis, necroptosis can also take place in the nucleus in response to orthomyxoviruses infection: following ZBP1 activation, which senses double-stranded Z-RNA structures, nuclear RIPK3 catalyzes phosphorylation and activation of MLKL, promoting disruption of the nuclear envelope and leakage of cellular DNA into the cytosol. Also regulates apoptosis: apoptosis depends on RIPK1, FADD and CASP8, and is independent of MLKL and RIPK3 kinase activity. Phosphorylates RIPK1: RIPK1 and RIPK3 undergo reciprocal auto- and trans-phosphorylation (By similarity). In some cell types, also able to restrict viral replication by promoting cell death-independent responses. In response to flavivirus infection in neurons, promotes a cell death-independent pathway that restricts viral replication: together with ZBP1, promotes a death-independent transcriptional program that modifies the cellular metabolism via up-regulation expression of the enzyme ACOD1/IRG1 and production of the metabolite itaconate. Itaconate inhibits the activity of succinate dehydrogenase, generating a metabolic state in neurons that suppresses replication of viral genomes. RIPK3 binds to and enhances the activity of three metabolic enzymes: GLUL, GLUD1, and PYGL (By similarity). These metabolic enzymes may eventually stimulate the tricarboxylic acid cycle and oxidative phosphorylation, which could result in enhanced ROS production (By similarity).

翻译修饰:

RIPK1 and RIPK3 undergo reciprocal auto- and trans-phosphorylation (By similarity). Autophosphorylated following interaction with ZBP1. Phosphorylation of Ser-204 plays a role in the necroptotic function of RIPK3 (By similarity). Autophosphorylates at Thr-231 and Ser-232 following activation by ZBP1: phosphorylation at these sites is a hallmark of necroptosis and is required for binding MLKL. Phosphorylation at Thr-187 is important for its kinase activity, interaction with PELI1 and for its ability to mediate TNF-induced necroptosis (By similarity).

Polyubiquitinated with 'Lys-48' and 'Lys-63'-linked chains by BIRC2/c-IAP1 and BIRC3/c-IAP2, leading to activation of NF-kappa-B. Ubiquitinated by STUB1 leading to its subsequent proteasome-dependent degradation.

细胞定位:

Cytoplasm>Cytosol. Nucleus.
Note: Mainly cytoplasmic (PubMed:32200799, PubMed:32296175). Present in the nucleus in response to influenza A virus (IAV) infection (PubMed:32200799).

Extracellular region or secreted Cytosol Plasma membrane Cytoskeleton Lysosome Endosome Peroxisome ER Golgi apparatus Nucleus Mitochondrion Manual annotation Automatic computational assertionSubcellular location
组织特异性:

Expressed in embryo and in adult spleen, liver, testis, heart, brain and lung.

蛋白家族:

The RIP homotypic interaction motif (RHIM) mediates interaction with the RHIM motif of RIPK1. Both motifs form a hetero-amyloid serpentine fold, stabilized by hydrophobic packing and featuring an unusual Cys-Ser ladder of alternating Ser (from RIPK1) and Cys (from RIPK3).

Belongs to the protein kinase superfamily. TKL Ser/Thr protein kinase family.

文献引用

1). Dual-mode action of scalable, high-quality engineered stem cell-derived SIRPα-extracellular vesicles for treating acute liver failure. Nature communications, 2025 (PubMed: 39988725) [IF=16.6]

Application: IHC    Species: Mouse    Sample: liver

Fig. 1: CD47 is overexpressed on necroptotic hepatocytes in the damaged liver of ALF models. A Biochemical evaluation (AST and ALT levels) of the ALF model after APAP induction (left). Representative images of H&E and CD47 staining of liver samples from an ALF model induced by APAP (right) (n = 4). B CD47 expression levels of cell populations within liver tissue (n = 4). C CD47 expression in hepatocytes from normal and APAP-ALF livers (n = 3). D Graphical representation of early apoptotic (Annexin V+/7-AAD−), late apoptotic/necroptotic (Annexin V+/7-AAD+), and necrotic (Annexin V−/7-AAD+) cell populations in liver hepatocytes from normal (n = 4) and APAP-ALF (n = 3) mice. E Expression of RIP3 and pMLKL in liver samples from normal and APAP-ALF groups. F Representative confocal images of liver sections from normal and APAP-ALF mice. Scale bar, 50 μm. G Scatter plot visualization of the Spearman correlation (R) between 121 necroptosis gene scoring and RNA levels of CD47 across samples. H STopover analysis to map the spatial overlap and interactions between cell types in liver tissue from normal and APAP-ALF mice. Highlights include 121 necroptosis gene scores (yellow) and macrophage RNA levels (blue), with overlapping areas shown in green. The plots below represent the three regions. I Violin plot visualizing SIRPα expression levels in different regions based on spatial correlation results. The numbers marked on the plot represent the median values of the SIRPα expression. Bar graph data are presented as mean ± SD. Statistical significance was determined by two-tailed unpaired Student’s t test (A), two-way ANOVA with Sidak’s post hoc test (B, D), and two-tailed test (G). Hepa hepatocytes, Immune immune cells, Endo endothelial cells. Source data are provided as a Source Data file.

2). Ru(II) Complex-Mediated Phase Separation Amplifies Photocatalytic RNA Damage to Stimulate RIG‑I Immunotherapy. JACS Au, 2025 [IF=8.6]

3). Melatonin restores endoplasmic reticulum homeostasis to protect injured neurons in a rat model of chronic cervical cord compression. JOURNAL OF PINEAL RESEARCH, 2023 (PubMed: 36732085) [IF=8.3]

4). Glycidol induces necroptosis and inflammation through autophagy-necrosome pathway in renal cell and mice. The Science of the total environment, 2025 (PubMed: 39965374) [IF=8.2]

5). 1, 3-Dichloro-2-propanol-Induced Renal Tubular Cell Necroptosis through the ROS/RIPK3/MLKL Pathway. Journal of Agricultural and Food Chemistry, 2022 (PubMed: 36000575) [IF=5.7]

6). Hydrogen sulphide alleviates depression-like behaviors by suppressing the hippocampal necroptosis-neuroinflammation-KP imbalance axis. Frontiers in pharmacology, 2025 (PubMed: 41208865) [IF=5.6]

Application: WB    Species: Rat    Sample:

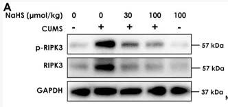
FIGURE 1 Effect of NaHS on the hippocampal necroptosis of CUMS-exposed rats. Rats were exposed to CUMS for 4 weeks and treated with NaHS (30, 100 μmol/kg, i.p.) for 2 weeks. The expressions of p-RIPK3, p-RIPK3 (A), p-RIPK1, p-RIPK1 (B), p-MLKL, and MLKL (C) in the hippocampus of rats were measured by Western blotting. Values are expressed as mean ± SEM (n = 3–5/group). **P < 0.01, ***P < 0.001, versus the control group; ##P < 0.01, ###P < 0.001, versus the CUMS-exposed group.

7). Inhibition of the RIP3/MLKL/TRPM7 necroptotic pathway ameliorates diabetes mellitus-induced erectile dysfunction by reducing cell death, fibrosis, and inflammation. Frontiers in pharmacology, 2024 (PubMed: 39329120) [IF=5.6]

8). Tanshinone I exerts cardiovascular protective effects in vivo and in vitro through inhibiting necroptosis via Akt/Nrf2 signaling pathway. Chinese Medicine, 2021 (PubMed: 34183021) [IF=5.3]

Application: WB    Species: Rat    Sample: H9c2 cells

Fig. 2 TI ameliorated t‑BHP induced cell necroptosis via RIP1/RIP3/MLKL pathway. a H9c2 cells were cultured with Nec-1 for 12 h. b Cells were exposed to t-BHP (150 μM) for 10 h after treated with Nec-1 for 2 h. c Cells were exposed to t-BHP (150 μM) for 10 h after treated with TI (1 μM) or Nec-1 (100 μM) for 2 h. MTT was employed to detect cell viability. d Cells were treated with t-BHP (150 μM) for 10 h when pretreated with TI (1 μM) or Nec-1 (100 μM) for 2 h, the LDH level was monitored by LDH kit. e–h Pretreated with TI (0.25, 0.5, and 1 μM) or Nec-1 (100 μM) for 2 h respectively, then exposed to t-BHP (150 μM) for 4 h, the protein expression was determined by western blotting. n = 3. *p < 0.05, **p < 0.01, ***p < 0.001 vs. t-BHP group

9). Suppression of cGAS/STING pathway-triggered necroptosis in the hippocampus relates H2S to attenuate cognitive dysfunction of Parkinson's disease. Experimental neurology, 2024 (PubMed: 39637964) [IF=5.3]

10). MicroRNA-18a regulates the Pyroptosis, Apoptosis, and Necroptosis (PANoptosis) of osteoblasts induced by tumor necrosis factor-α via hypoxia-inducible factor-1α. International immunopharmacology, 2024 (PubMed: 38241841) [IF=4.8]

加载更多

限制条款

产品的规格、报价、验证数据请以官网为准,官网链接:www.affbiotech.com | www.affbiotech.cn(简体中文)| www.affbiotech.jp(日本語)

产品的数据信息为Affinity所有,未经授权不得收集Affinity官网数据或资料用于商业用途,对抄袭产品数据的行为我们将保留诉诸法律的权利。

产品相关数据会因产品批次、产品检测情况随时调整,如您已订购该产品,请以订购时随货说明书为准,否则请以官网内容为准,官网内容有改动时恕不另行通知。

Affinity保证所销售产品均经过严格质量检测。如您购买的商品在规定时间内出现问题需要售后时,请您在Affinity官方渠道提交售后申请。

产品仅供科学研究使用。不用于诊断和治疗。 

产品未经授权不得转售。

Affinity Biosciences将不会对在使用我们的产品时可能发生的专利侵权或其他侵权行为负责。Affinity Biosciences, Affinity Biosciences标志和所有其他商标所有权归Affinity Biosciences LTD.