产品: LC3B 抗体
货号: AF4650
描述: Rabbit polyclonal antibody to LC3B
应用: WB IHC IF/ICC
文献验证: WB, IHC, IF/ICC
反应: Human, Mouse, Rat
预测: Pig, Zebrafish, Bovine, Sheep, Dog, Xenopus
分子量: 14kDa,16kDa; 15kD(Calculated).
蛋白号: Q9GZQ8
RRID: AB_2844592

浏览相似产品>>

   规格 价格 库存
 50ul RMB¥ 1250 现货
 100ul RMB¥ 2300 现货
 200ul RMB¥ 3000 现货

货期: 当天发货

联系销售

产品描述

来源:
Rabbit
应用:
WB 1:500-1:2000, IF/ICC 1:100-1:500, IHC 1:50-1:200
*The optimal dilutions should be determined by the end user. For optimal experimental results, antibody reuse is not recommended.
*Tips:

WB: 适用于变性蛋白样本的免疫印迹检测. IHC: 适用于组织样本的石蜡(IHC-p)或冰冻(IHC-f)切片样本的免疫组化/荧光检测. IF/ICC: 适用于细胞样本的荧光检测. ELISA(peptide): 适用于抗原肽的ELISA检测.

反应:
Human, Mouse, Rat
预测:
Pig(100%), Zebrafish(%), Bovine(%), Sheep(%), Dog(%), Xenopus(%)
克隆:
Polyclonal
特异性:
LC3B Antibody detects endogenous levels of total LC3B.
RRID:
AB_2844592
引用格式: Affinity Biosciences Cat# AF4650, RRID:AB_2844592.
偶联:
Unconjugated.
纯化:
The antiserum was purified by peptide affinity chromatography using SulfoLink™ Coupling Resin (Thermo Fisher Scientific).
保存:
Rabbit IgG in phosphate buffered saline , pH 7.4, 150mM NaCl, 0.02% sodium azide and 50% glycerol. Store at -20 °C. Stable for 12 months from date of receipt.
别名:

展开/折叠

ATG8F; Autophagy-related protein LC3 B; Autophagy-related ubiquitin-like modifier LC3 B; LC3B; LC3II; MAP1 light chain 3 like protein 2; MAP1 light chain 3-like protein 2; MAP1A/1BLC3; MAP1A/MAP1B LC3 B; MAP1A/MAP1B light chain 3 B; MAP1ALC3; MAP1LC3B a; Map1lc3b; Microtubule associated protein 1 light chain 3 beta; Microtubule-associated protein 1 light chain 3 beta; Microtubule-associated proteins 1A/1B light chain 3B; MLP3B_HUMAN;

抗原和靶标

免疫原:

A synthesized peptide derived from human LC3B, corresponding to a region within N-terminal amino acids.

Uniprot:
基因/基因ID:
表达:
Q9GZQ8 MLP3B_HUMAN:

Most abundant in heart, brain, skeletal muscle and testis. Little expression observed in liver.

序列:
MPSEKTFKQRRTFEQRVEDVRLIREQHPTKIPVIIERYKGEKQLPVLDKTKFLVPDHVNMSELIKIIRRRLQLNANQAFFLLVNGHSMVSVSTPISEVYESEKDEDGFLYMVYASQETFGMKLSV

种属预测

种属预测:

score>80的预测可信度较高,可尝试用于WB检测。*预测模型主要基于免疫原序列比对,结果仅作参考,不作为质保凭据。

Species
Results
Score
Pig
100
Bovine
100
Sheep
100
Dog
100
Xenopus
100
Zebrafish
92
Horse
0
Chicken
0
Rabbit
0
Model Confidence:
High(score>80) Medium(80>score>50) Low(score<50) No confidence

研究背景

功能:

Ubiquitin-like modifier involved in formation of autophagosomal vacuoles (autophagosomes). Plays a role in mitophagy which contributes to regulate mitochondrial quantity and quality by eliminating the mitochondria to a basal level to fulfill cellular energy requirements and preventing excess ROS production. Whereas LC3s are involved in elongation of the phagophore membrane, the GABARAP/GATE-16 subfamily is essential for a later stage in autophagosome maturation. Promotes primary ciliogenesis by removing OFD1 from centriolar satellites via the autophagic pathway. Through its interaction with the reticulophagy receptor TEX264, paticipates in the remodeling of subdomains of the endoplasmic reticulum into autophagosomes upon nutrient stress, which then fuse with lysosomes for endoplasmic reticulum turnover.

翻译修饰:

The precursor molecule is cleaved by ATG4B to form the cytosolic form, LC3-I. This is activated by APG7L/ATG7, transferred to ATG3 and conjugated to phospholipid to form the membrane-bound form, LC3-II.

The Legionella effector RavZ is a deconjugating enzyme that produces an ATG8 product that would be resistant to reconjugation by the host machinery due to the cleavage of the reactive C-terminal glycine.

Phosphorylation at Thr-12 by PKA inhibits conjugation to phosphatidylethanolamine (PE) (By similarity). Interaction with MAPK15 reduces the inhibitory phosphorylation and increases autophagy activity.

细胞定位:

Cytoplasm>Cytoskeleton. Endomembrane system>Lipid-anchor. Cytoplasmic vesicle>Autophagosome membrane>Lipid-anchor. Cytoplasmic vesicle>Autophagosome.
Note: LC3-II binds to the autophagic membranes. Localizes also to discrete punctae along the ciliary axoneme (By similarity).

Extracellular region or secreted Cytosol Plasma membrane Cytoskeleton Lysosome Endosome Peroxisome ER Golgi apparatus Nucleus Mitochondrion Manual annotation Automatic computational assertionSubcellular location
组织特异性:

Most abundant in heart, brain, skeletal muscle and testis. Little expression observed in liver.

蛋白家族:

Belongs to the ATG8 family.

研究领域

· Cellular Processes > Cell growth and death > Ferroptosis.   (View pathway)

文献引用

1). The NLRX1-SLC39A7 complex orchestrates mitochondrial dynamics and mitophagy to rejuvenate intervertebral disc by modulating mitochondrial Zn2+ trafficking. Autophagy, 2024 (PubMed: 37876250) [IF=14.6]

Application: WB    Species: human    Sample: NP cells

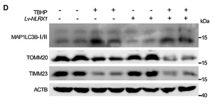
Figure 3. NLRX1 is essential for the beneficial action of mitophagy in alleviating mitochondrial dysfunction and NP cell senescence. Primary human NP cells isolated from NP tissues with different Pfirrmann grades were prepared. (A) confocal analysis of NLRX1 and MAP1LC3B with if staining in NP cells isolated from health NP tissues treated by PBS or TBHP, scale bar: 10 μm. (B) proteins immunoprecipitated (IP) from NP cells isolated from health NP tissues treated by PBS or TBHP followed by western blotting, left panel: IP with anti-MAP1LC3B antibody, right panel: IP with anti-NLRX1 antibody. (C) confocal analysis of TOMM20 and MAP1LC3B with if staining in NP cells isolated from degenerated NP tissues treated by PBS or TBHP with NLRX1 overexpression or not, scale bar: 10 μm. (D and E) protein expressions of mitophagy indicators (MAP1LC3B-II, TOMM20, TIMM23) in primary human NP cells isolated from degenerated NP tissues treated by PBS or TBHP with NLRX1 overexpression or not, as determined by western blotting. (F-I) JC-1 incubation for detecting mitochondrial membrane potential (MMP; F, H) and DCFH incubation for detecting reactive oxidative species (ROS; G, I) in NP cells isolated from degenerated NP tissues treated by PBS, TBHP or 3-MA with NLRX1 overexpression or not, as determined by flow cytometry. (J and K) protein expressions of senescence indicators (TP53, CDKN2A) and SASP factors (IL1B, IL6) in NP cells isolated from degenerated NP tissues treated by PBS, TBHP or 3-MA with NLRX1 overexpression or not, as determined by western blotting. (L and M) cell proliferation (MKI67 immunofluorescent staining, EdU incorporation) and cell senescence (SA-GLB1/β-gal staining) in primary human NP cells isolated from degenerated NP tissues treated by PBS, TBHP or 3-MA with NLRX1 overexpression or not, scale bar: 50 μm (IF images), 100 μm (white light images). Data are represented as mean ± SD.

Application: IF/ICC    Species: human    Sample: NP cells

Figure 3. NLRX1 is essential for the beneficial action of mitophagy in alleviating mitochondrial dysfunction and NP cell senescence. Primary human NP cells isolated from NP tissues with different Pfirrmann grades were prepared. (A) confocal analysis of NLRX1 and MAP1LC3B with if staining in NP cells isolated from health NP tissues treated by PBS or TBHP, scale bar: 10 μm. (B) proteins immunoprecipitated (IP) from NP cells isolated from health NP tissues treated by PBS or TBHP followed by western blotting, left panel: IP with anti-MAP1LC3B antibody, right panel: IP with anti-NLRX1 antibody. (C) confocal analysis of TOMM20 and MAP1LC3B with if staining in NP cells isolated from degenerated NP tissues treated by PBS or TBHP with NLRX1 overexpression or not, scale bar: 10 μm. (D and E) protein expressions of mitophagy indicators (MAP1LC3B-II, TOMM20, TIMM23) in primary human NP cells isolated from degenerated NP tissues treated by PBS or TBHP with NLRX1 overexpression or not, as determined by western blotting. (F-I) JC-1 incubation for detecting mitochondrial membrane potential (MMP; F, H) and DCFH incubation for detecting reactive oxidative species (ROS; G, I) in NP cells isolated from degenerated NP tissues treated by PBS, TBHP or 3-MA with NLRX1 overexpression or not, as determined by flow cytometry. (J and K) protein expressions of senescence indicators (TP53, CDKN2A) and SASP factors (IL1B, IL6) in NP cells isolated from degenerated NP tissues treated by PBS, TBHP or 3-MA with NLRX1 overexpression or not, as determined by western blotting. (L and M) cell proliferation (MKI67 immunofluorescent staining, EdU incorporation) and cell senescence (SA-GLB1/β-gal staining) in primary human NP cells isolated from degenerated NP tissues treated by PBS, TBHP or 3-MA with NLRX1 overexpression or not, scale bar: 50 μm (IF images), 100 μm (white light images). Data are represented as mean ± SD.

2). Sirt3-mediated mitophagy regulates AGEs-induced BMSCs senescence and senile osteoporosis. Redox Biology, 2021 (PubMed: 33662874) [IF=10.7]

Application: WB    Species: mice    Sample: bone marrow mesenchymal stem (BMSCs)

Fig. 2. Effects of different concentrations of AGEs on mitochondrial function and mitophagy of BMSCs. The BMSCs were treated with AGEs (50–200 μg/mL) or BSA for 24–72 h. (A) Representative fluorescence images with DCF (green) staining in BMSCs stimulated with AGEs. Scale bar: 50 μm. (B) Representative fluorescence images with Mito-SOX (red) and Mito-Tracker (green) double-staining in BMSCs stimulated with AGEs. Scale bar: 50 μm. (C) The MMP was detected through JC-1 staining in BMSCs stimulated with AGEs. Scale bar: 50 μm. (D) Representative fluorescence images with Mtphagy Dye (red) and Mito-Tracker (green) double-staining in BMSCs stimulated with AGEs. Scale bar: 50 μm. (E) Representative fluorescence images with LC3B (red) and Mito-Tracker (green) double-staining in BMSCs stimulated with AGEs. Scale bar: 50 μm. (F) Representative Western blotting assay and quantitation of the level of LC3B, P62, Parkin, Sirt3. **p < 0.01 versus BSA. (For interpretation of the references to colour in this figure legend, the reader is referred to the Web version of this article.)

3). Pentapeptide PYRAE triggers ER stress-mediated apoptosis of breast cancer cells in mice by targeting RHBDF1-BiP interaction. Acta pharmacologica Sinica, 2024 (PubMed: 37798352) [IF=6.9]

4). Tert-butylhydroquinone promotes skin flap survival by inhibiting oxidative stress mediated by the Nrf2/HO-1 signalling pathway.. British journal of pharmacology, 2024 (PubMed: 39233316) [IF=6.8]

5). Inhibition of GSK3β Reduces Ectopic Lipid Accumulation and Induces Autophagy by the AMPK Pathway in Goat Muscle Satellite Cells. Cells, 2019 (PubMed: 31683987) [IF=6.0]

6). Effect of mitophagy in the formation of osteomorphs derived from osteoclasts. iScience, 2023 (PubMed: 37250312) [IF=5.8]

7). Role of the mTOR Signalling Pathway in Human Sepsis-Induced Myocardial Dysfunction. CANADIAN JOURNAL OF CARDIOLOGY, 2019 (PubMed: 31292086) [IF=5.8]

8). Activation of aldehyde dehydrogenase-2 improves ischemic random skin flap survival in rats. Frontiers in Immunology, 2023 (PubMed: 37441072) [IF=5.7]

Application: IF/ICC    Species: Mouse    Sample:

Figure 10 Immunofluorescence images of Beclin-1 (A), p62 (B), and LC3(C) were captured under fluorescence microscopy, and the relative fluorescence intensity was calculated. All images were obtained at identical magnification, ×200, scale bar = 50 μm. Data are represented as mean ± SEM (n = 3). **P

9). Mitochonic Acid-5 Inhibits Reactive Oxygen Species Production and Improves Human Chondrocyte Survival by Upregulating SIRT3-Mediated, Parkin-dependent Mitophagy. Frontiers in Pharmacology, 2022 (PubMed: 35734404) [IF=5.6]

Application: IF/ICC    Species: Human    Sample: OA cells

FIGURE 4 MA-5 promotes SIRT3 expression and activates Parkin-dependent mitophagy. (A–C) SIRT3 and Parkin levels in OA cells were detected using western blotting. (D) Difference in Parkin fluorescent signal in mitochondria were assessed using confocal microscopy. (E) Differences in LC3B expression among different treatment groups were detected via immunofluorescence. (F–K) Cell apoptosis, ROS, and membrane potential were detected via flow cytometry. All data are presented as mean ± standard deviation. ***p < 0.001, **p < 0.01, and *p < 0.05 represent differences between groups, as determined using a one-way analysis of variance.(a), (b).

10). Polysaccharides of Dendrobium officinale Kimura & Migo Leaves Protect Against Ethanol-Induced Gastric Mucosal Injury via the AMPK/mTOR Signaling Pathway in Vitro and vivo. Frontiers in Pharmacology, 2020 (PubMed: 33262700) [IF=5.6]

Application: WB    Species: Rat    Sample:

Figure 5 The representative western blot images of LC3β, HO-1, Beclin-1, p-AMPK, p62, p-mTOR and immunohistochemical image of LC3β showed that LDOP-1 induced autophagy via AMPK/mTOR signaling way in vivo. (A) The expression of LC3β, HO-1, Beclin-1, p-AMPK, p62, p-mTOR detected by Western blot. (B-G) Statistical analysis on LC3β, HO-1, Beclin-1, p-AMPK, p62, p-mTOR. Immunohistochemical image of LC3β (H) measured by immunohistochemical analysis (400×, brown yellow granules indicate positive reaction). Data are expressed as the mean  ±  SD of three independent experiments. #P < 0.05, ##P < 0.01, ###P < 0.001 compare the control group; *P < 0.05 and **P < 0.01 compare model group. LDOP-L stood for LDOP-1-L, LDOP-H stood for LDOP-1-H.

Application: IHC    Species: Rat    Sample:

Figure 5 The representative western blot images of LC3β, HO-1, Beclin-1, p-AMPK, p62, p-mTOR and immunohistochemical image of LC3β showed that LDOP-1 induced autophagy via AMPK/mTOR signaling way in vivo. (A) The expression of LC3β, HO-1, Beclin-1, p-AMPK, p62, p-mTOR detected by Western blot. (B-G) Statistical analysis on LC3β, HO-1, Beclin-1, p-AMPK, p62, p-mTOR. Immunohistochemical image of LC3β (H) measured by immunohistochemical analysis (400×, brown yellow granules indicate positive reaction). Data are expressed as the mean  ±  SD of three independent experiments. #P < 0.05, ##P < 0.01, ###P < 0.001 compare the control group; *P < 0.05 and **P < 0.01 compare model group. LDOP-L stood for LDOP-1-L, LDOP-H stood for LDOP-1-H.

Application: IF/ICC    Species: Rat    Sample:

Figure 9 The expression of LC3β when treated with 2 %, 4 %, 6 %, 8 % concentration ethanol for 0.5 h, 1 h, 1.5 h, 2 h and effects of LDOP-1 on it. (A) The expression of LC3β at the ethanol at concentrations of 2 %, 4 %, 6 %, 8 %. (B) The expression of LC3β for 0.5 h, 1 h, 1.5 h. (C) Immunofluorescence image of LC3β measured by immunofluorescence technique (GES-1 were treated with 8% ethanol for 2 h after pretreatment with LDOP-1). Data are expressed as the mean ± SD of three independent experiments. *P < 0.05 and **P < 0.01 compare to 2 % concentrations ethanol or 0.5 h group. LDOP stood for LDOP-1.

加载更多

限制条款

产品的规格、报价、验证数据请以官网为准,官网链接:www.affbiotech.com | www.affbiotech.cn(简体中文)| www.affbiotech.jp(日本語)

产品的数据信息为Affinity所有,未经授权不得收集Affinity官网数据或资料用于商业用途,对抄袭产品数据的行为我们将保留诉诸法律的权利。

产品相关数据会因产品批次、产品检测情况随时调整,如您已订购该产品,请以订购时随货说明书为准,否则请以官网内容为准,官网内容有改动时恕不另行通知。

Affinity保证所销售产品均经过严格质量检测。如您购买的商品在规定时间内出现问题需要售后时,请您在Affinity官方渠道提交售后申请。

产品仅供科学研究使用。不用于诊断和治疗。 

产品未经授权不得转售。

Affinity Biosciences将不会对在使用我们的产品时可能发生的专利侵权或其他侵权行为负责。Affinity Biosciences, Affinity Biosciences标志和所有其他商标所有权归Affinity Biosciences LTD.