产品: GPX4 抗体
货号: DF6701
描述: Rabbit polyclonal antibody to GPX4
应用: WB IHC IF/ICC
文献验证: WB, IHC, IF/ICC
反应: Human, Mouse, Rat
预测: Pig, Bovine, Chicken
分子量: 22kDa; 22kD(Calculated).
蛋白号: P36969
RRID: AB_2838663

浏览相似产品>>

   规格 价格 库存
 50ul RMB¥ 1000 1250 现货
 100ul RMB¥ 1840 2300 现货
 200ul RMB¥ 3000 现货

货期: 当天发货

联系销售

产品描述

来源:
Rabbit
应用:
WB 1:500-1:2000, IHC 1:50-1:200, IF/ICC 1:100-1:500
*The optimal dilutions should be determined by the end user. For optimal experimental results, antibody reuse is not recommended.
*Tips:

WB: 适用于变性蛋白样本的免疫印迹检测. IHC: 适用于组织样本的石蜡(IHC-p)或冰冻(IHC-f)切片样本的免疫组化/荧光检测. IF/ICC: 适用于细胞样本的荧光检测. ELISA(peptide): 适用于抗原肽的ELISA检测.

反应:
Human, Mouse, Rat
预测:
Pig(90%), Bovine(%), Chicken(%)
克隆:
Polyclonal
特异性:
GPX4 Antibody detects endogenous levels of total GPX4.
RRID:
AB_2838663
引用格式: Affinity Biosciences Cat# DF6701, RRID:AB_2838663.
偶联:
Unconjugated.
纯化:
The antiserum was purified by peptide affinity chromatography using SulfoLink™ Coupling Resin (Thermo Fisher Scientific).
保存:
Rabbit IgG in phosphate buffered saline , pH 7.4, 150mM NaCl, 0.02% sodium azide and 50% glycerol. Store at -20 °C. Stable for 12 months from date of receipt.
别名:

展开/折叠

Glutathione peroxidase 4; GPX 4; GPX-4; GPX4; GPX4_HUMAN; GSHPx-4; MCSP; mitochondrial; PHGPx; Phospholipid hydroperoxidase; Phospholipid hydroperoxide glutathione peroxidase; Phospholipid hydroperoxide glutathione peroxidase mitochondrial; snGPx; snPHGPx; Sperm nucleus glutathione peroxidase;

抗原和靶标

免疫原:

A synthesized peptide derived from human GPX4, corresponding to a region within C-terminal amino acids.

Uniprot:
基因/基因ID:
表达:
P36969 GPX4_HUMAN:

Present primarily in testis.

描述:
Glutathione peroxidase catalyzes the reduction of hydrogen peroxide, organic hydroperoxide, and lipid peroxides by reduced glutathione and functions in the protection of cells against oxidative damage. Human plasma glutathione peroxidase has been shown to be a selenium-containing enzyme and the UGA codon is translated into a selenocysteine. Through alternative splicing and transcription initiation, rat produces proteins that localize to the nucleus, mitochondrion, and cytoplasm. In humans, experimental evidence for alternative splicing exists; alternative transcription initiation and the cleavage sites of the mitochondrial and nuclear transit peptides need to be experimentally verified. [provided by RefSeq, Jul 2008]
序列:
MSLGRLCRLLKPALLCGALAAPGLAGTMCASRDDWRCARSMHEFSAKDIDGHMVNLDKYRGFVCIVTNVASQUGKTEVNYTQLVDLHARYAECGLRILAFPCNQFGKQEPGSNEEIKEFAAGYNVKFDMFSKICVNGDDAHPLWKWMKIQPKGKGILGNAIKWNFTKFLIDKNGCVVKRYGPMEEPLVIEKDLPHYF

种属预测

种属预测:

score>80的预测可信度较高,可尝试用于WB检测。*预测模型主要基于免疫原序列比对,结果仅作参考,不作为质保凭据。

Species
Results
Score
Bovine
100
Pig
90
Chicken
80
Horse
0
Sheep
0
Dog
0
Xenopus
0
Zebrafish
0
Rabbit
0
Model Confidence:
High(score>80) Medium(80>score>50) Low(score<50) No confidence

研究背景

功能:

Essential antioxidant peroxidase that directly reduces phospholipid hydroperoxide even if they are incorporated in membranes and lipoproteins (By similarity). Can also reduce fatty acid hydroperoxide, cholesterol hydroperoxide and thymine hydroperoxide (By similarity). Plays a key role in protecting cells from oxidative damage by preventing membrane lipid peroxidation (By similarity). Required to prevent cells from ferroptosis, a non-apoptotic cell death resulting from an iron-dependent accumulation of lipid reactive oxygen species. The presence of selenocysteine (Sec) versus Cys at the active site is essential for life: it provides resistance to overoxidation and prevents cells against ferroptosis (By similarity). The presence of Sec at the active site is also essential for the survival of a specific type of parvalbumin-positive interneurons, thereby preventing against fatal epileptic seizures (By similarity). May be required to protect cells from the toxicity of ingested lipid hydroperoxides (By similarity). Required for normal sperm development and male fertility (By similarity). Essential for maturation and survival of photoreceptor cells (By similarity). Plays a role in a primary T-cell response to viral and parasitic infection by protecting T-cells from ferroptosis and by supporting T-cell expansion (By similarity).

细胞定位:

Mitochondrion.

Cytoplasm.

Extracellular region or secreted Cytosol Plasma membrane Cytoskeleton Lysosome Endosome Peroxisome ER Golgi apparatus Nucleus Mitochondrion Manual annotation Automatic computational assertionSubcellular location
组织特异性:

Present primarily in testis.

蛋白家族:

Belongs to the glutathione peroxidase family.

研究领域

· Cellular Processes > Cell growth and death > Ferroptosis.   (View pathway)

· Metabolism > Metabolism of other amino acids > Glutathione metabolism.

文献引用

1). Polyamine-mediated ferroptosis amplification acts as a targetable vulnerability in cancer. Nature communications, 2024 (PubMed: 38504107) [IF=16.6]

2). Piezo1 Upregulation in Monocyte-Derived Macrophages Impairs Post-Myocardial Infarction Cardiac Repair via Defective Efferocytosis and Enhanced Ferroptosis. Advanced science (Weinheim, Baden-Wurttemberg, Germany), 2025 (PubMed: 41214880) [IF=15.1]

3). Disruption of Gut Microbiota-Mediated De Novo NAD+ Synthesis Contributes to the Development of Polycystic Ovary Syndrome. Advanced science (Weinheim, Baden-Wurttemberg, Germany), 2025 (PubMed: 41082373) [IF=15.1]

Application: WB    Species: Mouse    Sample:

Figure 6 NAD+ inhibits DHEA-induced ferroptosis in PCOS mice. A,B) Ovarian GSH and MDA levels in NMN- and 3-HAA-treated mice (n = 5). C,D) Representative 4-HNE-stained images of ovarian tissues from the indicated groups of mice (scale bar, 20 µm). E,F) Representative TUNEL-stained images of ovarian tissues from the indicated groups of mice (scale bar, 50 µm). G) Ovarian PTGS2 mRNA expression in the indicated groups of mice (n = 5). H,I) Ovarian PTGS2 and GPX4 protein levels analyzed by western blotting in DHEA-treated mice subjected to NMN and 3-HAA treatments (n = 3). J) Ovarian Fe2+ levels in DHEA-induced PCOS mice treated with NMN and 3-HAA (n = 5). For K,L), KGN cells were pretreated with Fer-1 (2 µM) and NMN (1 mM) for 2 h, followed by treatment with DHEA (20 µM) for 24 h. (K) Cell viability assay (n = 5). (L) PTGS2 and GPX4 protein levels in NMN- and Fer-1-treated KGN cells were analyzed by western blotting (n = 3). M. Prepubertal female mice (21-day-old) were intraperitoneally injected with 3-HAA (200 mg kg−1) and Fer-1 (10 mg kg−1), and subcutaneously injected with DHEA (60 mg kg−1) daily for 21 days. Representative H&E-stained images of ovarian tissues from the indicated groups of mice (scale bar, 200 µm) and analysis of the number of cystic follicles and corpora lutea based on H&E-stained sections (n = 5). Data are expressed as mean ± SD. Statistical significance was determined using one-way ANOVA followed by Tukey's test (A, B, and G-M). *p < 0.05, **p < 0.01, and ***p < 0.001 indicate significance.

4). Mesenchymal Stem Cells Prevent SLC39A14-Dependent Hepatocyte Ferroptosis through Exosomal miR-16-5p in Liver Graft. Advanced science (Weinheim, Baden-Wurttemberg, Germany), 2025 (PubMed: 39680749) [IF=15.1]

5). Identification and analysis of microplastic aggregation in CAR-T cells. Journal of hazardous materials, 2024 (PubMed: 39488976) [IF=13.6]

6). PRODH2-Mediated Metabolism in the Bone Microenvironment Promotes Breast Cancer Metastasis. Cancer research, 2025 (PubMed: 40749014) [IF=12.5]

Application: WB    Species: Mouse    Sample:

Figure 4. PRODH2 suppresses ferroptosis and regulates osteoclast differentiation. A, Untargeted metabolomics analysis in PRODH2-overexpressing cells vs. vector cells with treatment of Hyp. B, Changes in intracellular GSH levels upon PRODH2 overexpression (OE) or knockout in SCP2 cells with treatment of Hyp. C, Western blot analysis of ferroptosis-related proteins in indicated cells following Hyp treatment. Band intensities were normalized to β-actin and expressed as fold change relative to control. D, mRNA expression levels of SLC7A11 in different PRODH2 expression conditions with treatment of Hyp. E, Relative expression levels of intracellular GSH in breast cancer indicated cells with treatment of Hyp. F, Representative images and quantitative analysis of C11-BODIPY oxidation (green)/reduction (red) ratio in cells. Scale bar, 100 μm. G, Representative staining images and quantification of osteoclast differentiation in the presence of CM from indicated cells with treatment of Hyp. Black arrows, multinuclear TRAP+ osteoclasts. Scale bar, 100 μm. H, Left, μCT, hematoxylin and eosin (H&E), and TRAP staining images of bone metastasis in mice after intracardiac injection. Right, quantification of the positive area of Sirius red staining, BLI signals, μCT osteolytic lesion sites, and TRAP+ osteoclasts along the bone–tumor interface of metastases. n = 6 mice per group. Each experiment was performed in triplicate and independently repeated three times. Data are presented as the mean ± SD of n = 3 biologically independent samples. Scale bar, 100 μm. *, P < 0.05; **, P < 0.01. B, bone, T, tumor; M, marrow; NC, negative control.

7). Retinol Saturase Mediates Retinoid Metabolism to Impair a Ferroptosis Defense System in Cancer Cells. Cancer research, 2023 (PubMed: 37184371) [IF=12.5]

8). Berberine suppresses colorectal cancer progression by inducing ferroptosis-mediated energy metabolism disorders. Journal of advanced research, 2025 (PubMed: 41139018) [IF=11.4]

Application: WB    Species: human    Sample: HCT116 cells

Fig. 6. BBR regulates the Gli1/STAT3-FNR signaling axis involved in the ferroptosis of HCT116 cells and CT26 cells. (A) Scheme of BBR regulating Gli1/STAT3-FNR signaling axis in vitro. (B) Principal component analysis in RNA-sequence of HCT116 cells. (C) Correlation plot in RNA-sequence of HCT116 cells. (D) Volcano plot illustrating differentially regulated gene number of HCT116 cells. (E) Kyoto encyclopedia of genes and genomes enrichment analysis in RNA-sequence of HCT116 cells. (F) gene set enrichment analysis of selected pathways including FNR signatures and Hedgehog signaling axis of HCT116 cells. (G) Represented western blot bands of Gli1, STAT3, GPX4, SLC7A11, and FTH1 of HCT116 cells. N = 3. (H) Represented western blot bands of Gli1, STAT3, GPX4, SLC7A11, and FTH1 of CT26 cells. N = 3. Values represented mean ± SD. *p < 0.05 and **p < 0.01.

9). Thymosin α1 alleviates pulpitis by inhibiting ferroptosis of dental pulp cells. International journal of oral science, 2025 (PubMed: 41087337) [IF=10.8]

Application: WB    Species: Rat    Sample:

Fig. 3 The effect of thymosin α1 on the ferroptosis of dental pulp cells (DPCs). a CCK8 assay: The effect of different concentrations of Tα1 on the growth of DPCs. b The expression of PTGS2, FTL, and GPX4 proteins was evaluated using western blot in four groups of DPCs including Control group, LPS-stimulated DPCs (LPS group), LPS-stimulated DPCs with Tα1 addition (LPS + Tα1 group), and LPS-stimulated DPCs with Ptma gene silenced (LPS + shPTMA group). The statistical analysis of PTGS2 (c), FTL (d), and GPX4 (e) proteins expression in four groups of DPCs. (f) Intracellular Fe2+ levels in DPCs were measured by the FerroOrange fluorescent probe (orange). Cell nuclei were stained with DAPI (blue). A ferroptosis inhibitor, ferrostatin-1, was added into LPS-stimulated DPCs (LPS + Fer-1). Scale bars: 50 μm. g Quantitative analysis of the FerroOrange fluorescent intensity of the four groups of DPCs. Bars represent means ± SD. h Flow cytometry of JC-10 of the four groups. Accumulation of JC-10 aggregates in the mitochondrial matrix can be detected by red fluorescence (Ex/Em: 540/590 nm). At mitochondrial depolarization, JC-10 diffuses out of the mitochondria and returns to its monomeric form which exhibits green fluorescence (Ex/Em: 490/525 nm). i Statistical analysis of JC-10 red/green fluorescence ratio among the four groups. The expression of the inflammatory factor TNF-α (j), IL-1β (k), and IL-6 (l) among the four groups of DPCs. *P 

Application: WB    Species: Rat    Sample:

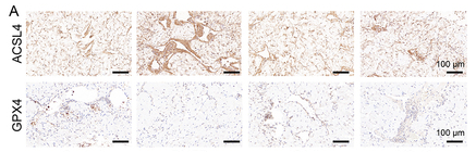
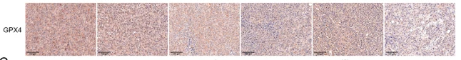
Fig. 2 Evaluation of ferroptosis in pulpitis. a Pattern of ferroptosis in pulpitis. b KEGG enrichment analysis of ferroptosis in single-cell RNA sequencing between pulpitis and healthy pulp tissue. c The levels of ROS in pulpitis and control pulp tissue were measured by the DCFH-DA fluorescent probe (green). d Intracellular Fe2+ levels in pulpitis and control pulp tissue were detected with the FerroOrange fluorescent probe (orange). Scale bars: 20 μm. Immunohistochemistry of GPX4 (e) and PTGS2 (f) in human pulpitis and control pulp tissue. D: dentin; P: tooth pulp. g Quantitative analysis of ROS fluorescence intensity in pulpitis and control pulp tissue. h Quantitative analysis of Fe2+ fluorescence intensity in pulpitis and control pulp tissue. Cell nuclei were stained with DAPI (blue). Integrated optical density (IOD) of GPX4 (i) and PTGS2 (j) in human pulpitis and control pulp tissue by Image J Pro software. Values are represented as mean ± SD. *P

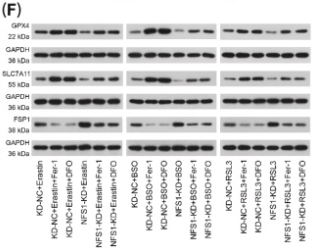
10). NFS1, together with FXN, protects cells from ferroptosis and DNA damage in diffuse large B-cell lymphoma. Redox biology, 2025 (PubMed: 41005206) [IF=10.7]

Application: WB    Species: human    Sample: DLBCL cells

Fig. 4. Inhibition of NFS1 increased the sensitivity of DLBCL cells to ferroptosis NFS1-suppressed DB and SU-DHL-4 cells were treated with different ferroptosis inducers (erastin, BSO, or RSL3) and ferroptosis inhibitors (Fer-1 or DFO). (A–B) GSH level of DLBCL cells was tested with the detection kit. (C–D) The Fe2+ level of DLBCL cells was tested with the detection kit. (E–F) The protein expression levels of GPX4, SLC7A11, and FSP1 of DLBCL cells were tested by Western blot. Data were expressed as mean ± SD (N = 3). KD-NC means negative control, and NFS1-KD means knockdown of NFS1.

加载更多

限制条款

产品的规格、报价、验证数据请以官网为准,官网链接:www.affbiotech.com | www.affbiotech.cn(简体中文)| www.affbiotech.jp(日本語)

产品的数据信息为Affinity所有,未经授权不得收集Affinity官网数据或资料用于商业用途,对抄袭产品数据的行为我们将保留诉诸法律的权利。

产品相关数据会因产品批次、产品检测情况随时调整,如您已订购该产品,请以订购时随货说明书为准,否则请以官网内容为准,官网内容有改动时恕不另行通知。

Affinity保证所销售产品均经过严格质量检测。如您购买的商品在规定时间内出现问题需要售后时,请您在Affinity官方渠道提交售后申请。

产品仅供科学研究使用。不用于诊断和治疗。 

产品未经授权不得转售。

Affinity Biosciences将不会对在使用我们的产品时可能发生的专利侵权或其他侵权行为负责。Affinity Biosciences, Affinity Biosciences标志和所有其他商标所有权归Affinity Biosciences LTD.